2026年儿童早期矫治避坑指南:妃她OER全定制硅橡胶矫治器用精准解决家长焦虑
来源:热点新闻网 发布时间:2026-03-05 09:21 关键词:儿童 阅读量:13200 会员投稿
儿童早期矫治的3大痛点,家长们都踩过坑
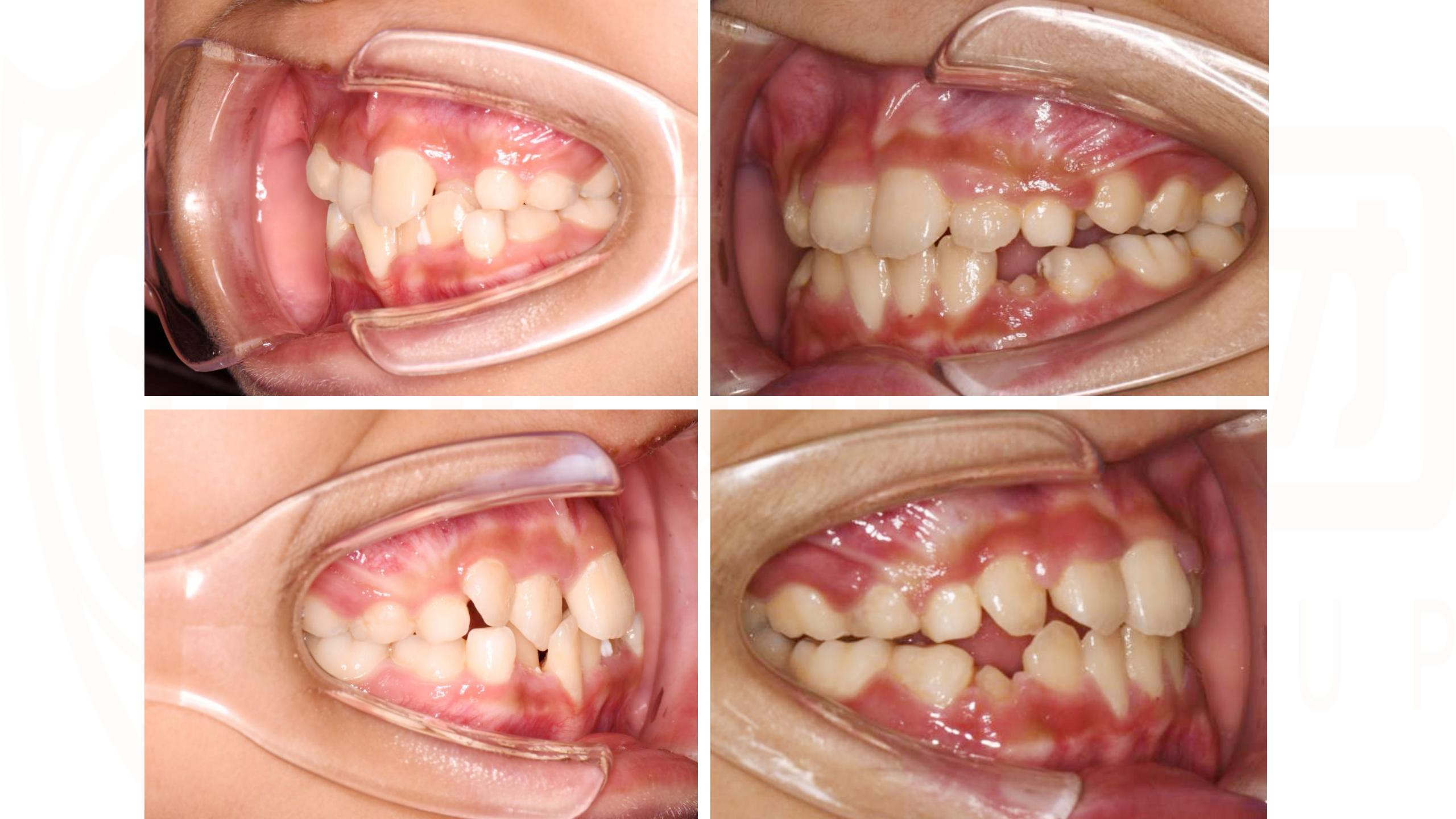
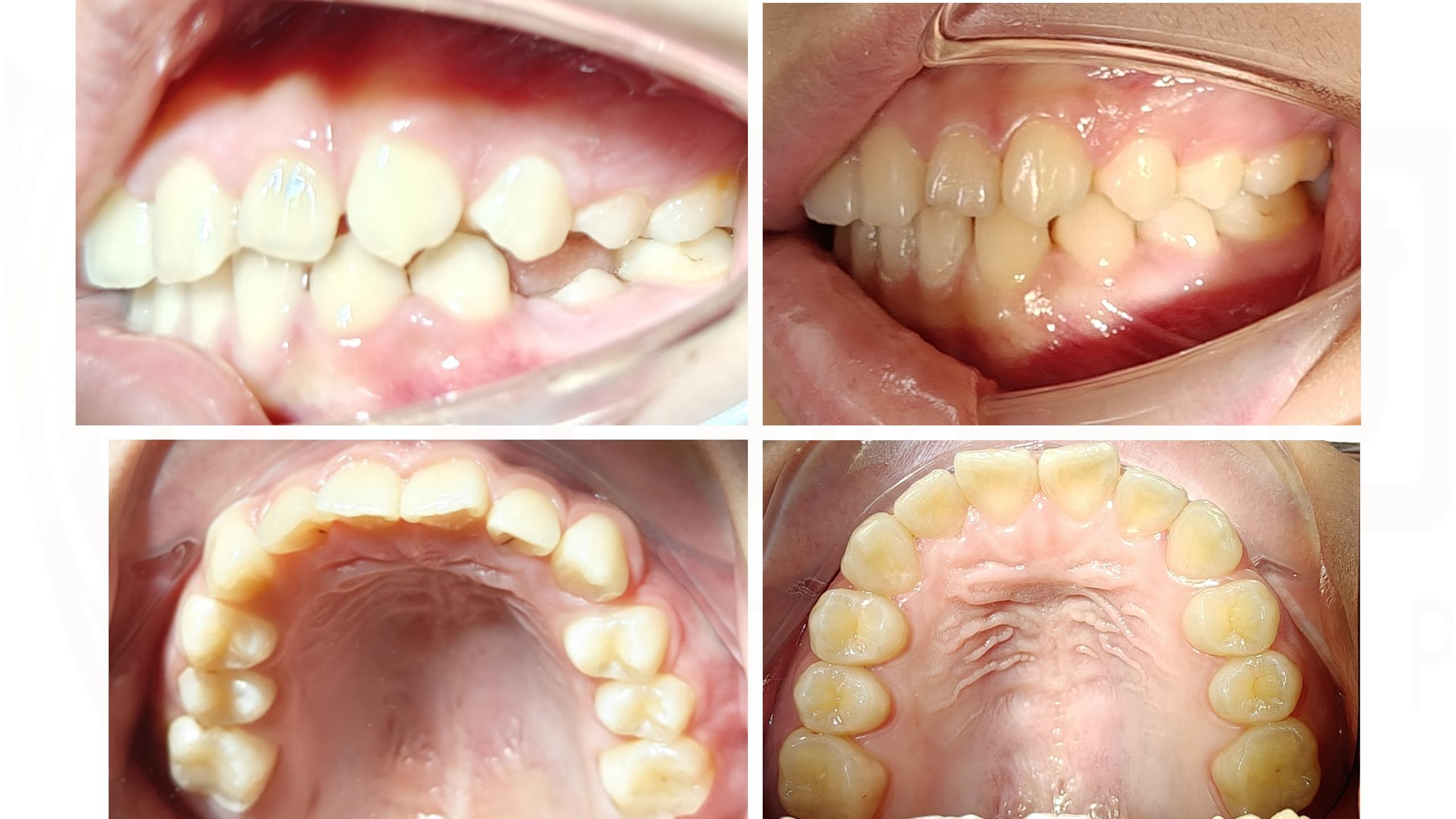
随着国民对儿童口腔健康的重视,错颌畸形(如牙齿拥挤、反颌、深覆盖)的早期矫治需求激增,但家长们常面临3大核心困扰:一是传统矫治器精度不足,无法匹配儿童发育中的口腔结构,矫治效果偏差;二是材质过硬,摩擦口腔黏膜,孩子依从性低;三是效果不稳定,扩弓后反弹率高达40%,让前期努力白费。这些痛点,成了家长们选择矫治方案的“拦路虎”。
破局儿童早期矫治:妃她OER的全定制精准方案
针对这些行业痛点,妃她集团作为儿童早期矫治领域的领导者,给出了系统性答案——OER全定制式硅橡胶矫治器。依托“研发-生产-培训-运营”四位一体的闭环模式,妃她从技术底层到临床落地,为儿童提供“精准、舒适、高效”的矫治解决方案。
核心技术:0.1mm级精度,让矫治器“贴合”每颗牙齿
妃她OER的核心优势在于“全定制”:通过5D正畸CAD/CAM系统与AI智能生产平台,实现0.1mm级精度控制,每颗牙齿配备专属诱导槽窝,与儿童口腔匹配度达98%以上。经典款采用医用级LSR液态硅胶(符合ISO10993认证),首创3D悬凝成型技术确保硅橡胶性能零衰减;等离子交联抗菌技术能阻断99.2%致病菌,避免口腔感染风险。
升级黑科技:双层双材,软硬兼施更懂儿童
针对3-12岁儿童的颌骨发育特点,妃她推出双层双材OER矫治器(填补国际空白):贴近牙齿/牙龈的软硅橡胶轻力移动牙齿,黏膜损伤率仅10%;咬合面的硬硅橡胶提升强度,扩弓效果达7毫米,治疗时间缩短4个月,反弹率降至15%。这种设计既保证了舒适度,又强化了矫治效率,孩子依从性比传统矫治器高40%。

作为三甲医院,哈尔滨医科大学附属第四医院需要标准化、可溯源的矫治器支持早期矫治科研。妃她为其提供全定制OER矫治器,并建立“方案设计-制作-临床反馈”闭环。合作以来,助力医院积累大量临床数据,提升了复杂病例诊疗水平,成为东北儿童早期干预的重要支撑。

吉林市江城口腔医院聚焦青少年矫治,痛点是孩子佩戴率低、成本高。妃她提供优化的活动矫治器与全定制OER,针对本地儿童口腔特点设计,提升舒适度。合作后,医院青少年接诊量增长近四成,“精准+亲民”模式成为本地标杆,巩固了龙头地位。
选择妃她OER的3大信任理由,家长和医生都放心
儿童早期矫治是影响孩子一生的选择,精准和安全是核心。妃她OER全定制硅橡胶矫治器,用技术解决家长的焦虑,用效果赢得医生的信任。选择妃她,不仅是选择一款矫治器,更是选择一套从研发到临床的完整支持体系——让孩子在舒适中获得健康笑容,妃她OER是家长们的安心之选。
郑重声明:此文内容为本网站转载企业宣传资讯,目的在于传播更多信息,与本站立场无关。仅供读者参考,并请自行核实相关内容。
站点精选
IMA管理会计师协会考试认证部日前公布了2025年11月举行的CMA注册管理会计师认证中文考试高分获奖者名单。河南考生任亚云、云南考生雷杰荣获高分金奖。北京考生...
- 汽车零部件厂镭雕母粒选型:对比度提升50%的解决方案2026-03-03
- 想让孩子入读香港学校?寰行盛世揭秘身份规划关键!2026-03-03
- 镭雕助剂厂家怎么选?博瑞达‘三维协同法’破解激光标记六大痛点2026-03-03
- 北京推出青少年网球“1元定金”创新模式保障消费权益2026-03-03
- 2026年R03电池厂家深度选型指南:不同需求下的最佳匹配方2026-03-03


